
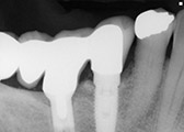
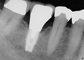
We are proud to offer dental implants for our patients. Dental implants are roots placed in your mouth for either permanent teeth to be placed on or ones that you can remove.
Dental implants are done to improve a patient’s smile and usually their self esteem. Having missing or bad teeth can be quite embarrassing. Dental implants also can be done to improve oral health. Many people find it easier to eat with dental implants. Their speech can also be improved. Dental implants are also more comfortable because they are made to become permanent.
When done correctly, and with proper care, dental implants can last a patient’s whole life. It is still important to brush your teeth, floss, and use mouthwash when you have implants. Patients still need routine dental checkups to keep their implants healthy.
If you have any questions about dental implants and how we can help your smile, feel free to contact us today at (513) 984-3700.

